Orthodontistes | Parodontistes

Cas traités

Parodontie

La parodontie permet de redonner la santé à la gencive et à l’os qui entoure les dents. Elle joue aussi un rôle important dans l’esthétique du sourire. En voici quelques exemples.

Cas traité 1

Couverture de la racine d’une dent par la technique de greffe de tissu conjonctif (greffe de gencive)

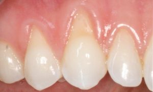
Cas traité 2

Couverture de la racine exposée de plusieurs de dents par greffe de tissu conjonctif (greffe de gencive).

Cas traité 3

Augmentation de la hauteur des dents par chirurgie parodontale esthétique

Cas traité 4

Reconstruction d’un défaut osseux autour d’une dent, conséquence d’une parodontite, par greffe d’os et usage d’un agent biologique